Isolated Dental and Lower-Facial Pain Mimicking Trigeminal Neuropathy: An Indirect Carotid-Cavernous Fistula
Article information
Abstract
Carotid-cavernous fistula (CCF) is a pathological arteriovenous communication in which carotid arterial flow is diverted into the cavernous sinus. Clinical manifestations typically include ocular signs, cranial neuropathies, and headache. Neurologic deficits most commonly reflect involvement of cranial nerves III, IV, V1/V2, and VI within or along the cavernous sinus; in contrast, isolated trigeminal presentations are rare, and V3 involvement is particularly uncommon. A 69-year-old woman presented with isolated V2/V3-territory pain, perceived as molar, gingival, and lower facial discomfort. Her symptoms were initially misattributed to trigeminal neuropathy or dental pathology. Subsequently, she developed horizontal diplopia, and bedside testing localized a right abducens palsy. Brain magnetic resonance imaging revealed findings suspicious for a CCF, which was angiographically confirmed as an indirect CCF. Following embolization, the patient’s pain markedly improved, implicating the CCF as the source of the V2/V3 symptoms. This case highlights that an atypical, trigeminal-predominant onset—even with pain limited to the V2/V3 distribution—may indicate an indirect CCF. When atypical trigeminal neuropathy is suspected and dental or other peripheral causes are excluded, clinicians should consider the possibility of a CCF.
INTRODUCTION
A carotid-cavernous fistula (CCF) is defined as an abnormal shunt between the carotid arterial circulation and the venous system of the cavernous sinus.1 CCFs can be classified into two main types: direct and indirect (or dural).2 The direct type refers to a high-flow fistulous communication where the cavernous portion of the internal carotid artery (ICA) ruptures directly into the cavernous sinus. In contrast, the indirect type is characterized by low-flow fistulas supplied by dural branches of the ICA and/or external carotid artery (ECA) that drain into the cavernous sinus via the meningeal network.3 Characteristic manifestations can be organized as follows: ocular symptoms/signs—conjunctival hyperemia, orbital congestion with proptosis or chemosis, increased intraocular pressure, orbital bruit, pulsatile exophthalmos, orbital pain, and blurry vision; neurologic symptoms—diplopia from cranial nerve (CN) III/IV/VI palsies; and headache.3 Anteriorly draining fistulas are more likely to produce ocular symptoms. By contrast, posteriorly draining fistulas may present with neurologic manifestations such as diplopia from ocular motor nerve palsy, confusion-particularly when cortical venous reflux is present.1 Involvement of the trigeminal nerve in patients with CCF is uncommon, and published data are limited compared with ocular motor findings.3,4 V3 involvement has been reported only sporadically,4,5 and an initial presentation confined to V3 or V2/V3 has been only rarely described. Here, we report a case of CCF that initially presented with V2/V3 involvement and was mistaken for a dental disorder or trigeminal neuropathy. To our knowledge, this report describes an exceptionally rare indirect CCF presenting solely with isolated V2/V3-territory pain at onset, underscoring a diagnostic pitfall in which the lesion can mimic primary trigeminal or dental disease.
CASE REPORT
A 69-year-old woman with a medical history of bipolar disorder, not on any medications, presented with a 1-month history of severe right molar, adjacent gingival pain, and lower facial pain, accompanied by progressively worsening bifrontal headache. The headache was described as a crushing pain, rated 7–8/10 on the numeric rating scale (NRS), associated with nausea and vomiting. Each episode persisted for several hours and, without analgesics, could last throughout the day, with progressive day-to-day worsening over the preceding month. The pain was bifrontal, not clearly positional, and not worsened by Valsalva maneuvers or routine activity. No consistent aggravating or relieving factors were identified, and short-acting analgesics such as acetaminophen/isopropylantipyrine/caffeine combination provided only partial, transient relief. There was no history of photophobia, phonophobia, similar prior headaches, or identifiable triggers such as stress, upper respiratory tract infection, or head trauma. Cranial autonomic features were absent, and neither scalp tenderness nor jaw claudication was reported. The V2/V3-territory pain was predominantly constant and pressure-like, with brief, electric shock-like paroxysms lasting only seconds; during these paroxysms, peaking at 7–8/10 on the NRS. Classical trigeminal neuralgia triggers—chewing, talking, light facial contact, or cold exposure—were not identified.
The patient initially visited a dentist, where dental evaluation, including radiographic studies, revealed no abnormalities. As symptoms persisted and worsened, she presented to the emergency department. On initial assessment, there were no ocular signs (no proptosis or chemosis, no conjunctival arterialization, no orbital bruit), extraocular movements were full without diplopia, and the rest of the neurologic examination was unremarkable. Initial brain computed tomography (CT) and screening labs were normal. Given the normal dental evaluation, unremarkable screening labs and brain CT, and a presentation dominated by facial/V2–V3 pain without objective neuro-ophthalmic findings, the emergency department established a working diagnosis of trigeminal neuropathy and prioritized symptomatic care with short-interval follow-up; advanced neurovascular imaging was deferred until localizing red flags emerged. A brief therapeutic trial of carbamazepine 200 mg twice daily was initiated, which provided only transient, partial relief, with subsequent pain recurrence.
One week before admission, she developed new-onset binocular diplopia. On red-glass testing (red lens over the right eye), the patient exhibited horizontal, uncrossed diplopia with the red image to the right of the white image, worsening on right gaze and at distance, consistent with right abducens (CN VI) palsy. Additionally, the patient continued to experience persistent V2–V3 area pain and aggravated bifrontal headache.
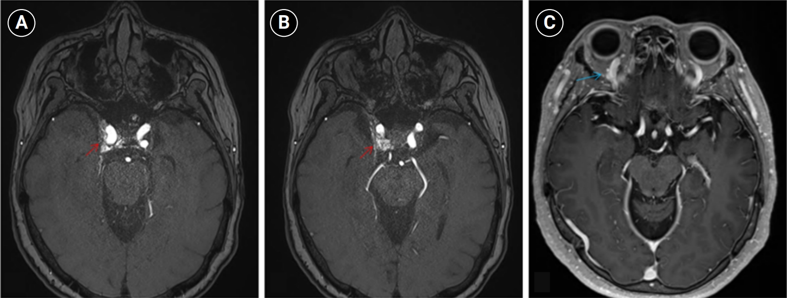
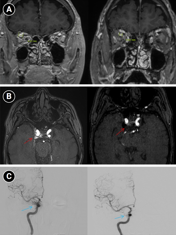
Baseline hematology and chemistry—including complete blood count, electrolytes, renal/hepatic indices—and coagulation tests (prothrombin time/international normalized ratio, activated partial thromboplastin time) were within reference limits. Erythrocyte sedimentation rate and C-reactive protein were normal. A focused screen for secondary trigeminal neuropathy (thyroid-stimulating hormone, vitamin B12, HbA1c) was negative. There were no clinical signs of infection. Brain magnetic resonance imaging (MRI) demonstrated high flow related signal in the right cavernous sinus and asymmetric dilation of the superior ophthalmic veins (right>left), raising suspicion for a CCF (Figure 1). Definitive diagnosis was established on digital subtraction angiography (DSA), which identified a right CCF. DSA demonstrated an indirect CCF supplied by the right meningohypophyseal trunk of the ICA and by right ECA branches, including the internal maxillary artery and the cavernous branch of the middle meningeal artery, consistent with Barrow type D (Figure 2).6 Barrow type D denotes an indirect, low-flow fistula with dual ICA/ECA dural supply; unlike direct type, indirect types present more insidiously, and symptom patterns are largely determined by venous drainage, with posterior drainage often manifesting as CN VI palsy and headache (Table 1).1,3,6,7 The fistula was treated with transvenous Onyx embolization. On post-procedure day 1, non-contrast time-of-flight magnetic resonance angiography (TOF-MRA) demonstrated a marked reduction of flow related hyperintensity within the right cavernous sinus, and the right superior ophthalmic vein caliber decreased from 6.63 to 4.61 mm (Figure 3A, B). Follow-up DSA (at 3 weeks) likewise showed substantial attenuation of fistulous opacification (Figure 3C), supporting a significant interval decrease in arteriovenous shunting. At 1–2 weeks, the patient reported an ~80%–90% reduction in dental/lower-facial pain and bifrontal headache from NRS 7–8 to 1–2. By 1 month, red-glass testing demonstrated resolution of primary-position diplopia. Formal prism measurements were unavailable; bedside ocular-motor grading was recorded using a standard duction underaction scale (–4 to 0). Right abduction improved from –1 to 0, and primary-position diplopia was absent at distance and near, consistent with recovery from abducens palsy.
Brain magnetic resonance imaging (MRI) findings. (A, B) Non-contrast time-of-flight magnetic resonance angiography shows a high flow-related signal (red arrows) within the right cavernous sinus. (C) Contrast-enhanced T1-weighted MRI demonstrates asymmetric dilation of the superior ophthalmic veins (blue arrow), more prominent on the right.
Digital subtraction angiography findings in the patient. (A) Right internal carotid artery (ICA) angiogram shows an indirect carotid-cavernous fistula supplied by the meningohypophyseal trunk of the cavernous ICA (black arrow). (B, C) Right external carotid artery angiogram demonstrates additional arterial supply from external carotid branches, including the internal maxillary artery (blue arrows) and the cavernous branch of the middle meningeal artery (red arrows).
Imaging changes before and after embolization. (A) Brain magnetic resonance imaging (coronal section through the orbits) shows a decrease in the diameter of the right superior ophthalmic vein from 6.63 mm pre-embolization to 4.61 mm post-embolization, indicating reduced venous congestion. (B) Axial time-of-flight magnetic resonance angiography demonstrates that flow-related hyperintensity within the right cavernous sinus is markedly reduced after embolization (red arrows), consistent with decreased shunt flow. (C) Digital subtraction angiography images before embolization show abnormal early pericavernous venous filling along the right cavernous sinus region (blue arrows), compatible with carotid-cavernous shunting. On follow-up, this abnormal filling is no longer visualized, consistent with interval reduction in shunt flow.
DISCUSSION
Trigeminal involvement in CCF is generally uncommon, with most patients presenting primarily with ocular signs and CN III/IV/VI palsies. When trigeminal involvement dose occur, it most often localizes to the V1 or V2 divisions and is accompanied by ocular congestion or ocular motor cranial neuropathies—features more characteristic of cavernous-sinus pathology such as CCF, or other secondary entities (e.g., secondary trigeminal autonomic cephalalgias), than of isolated primary trigeminal disease.4,5,8,9 A rare instance of V3 involvement has been reported, but it is usually accompanied by additional cranial neuropathies.5 An initial presentation confined to the V2/V3 divisions with subsequent misdiagnosis has been only rarely described in the published literature. Although the symptomatic distribution overlapped with ours (V2/V3-territory pain), Rizzo et al.4 reported an indirect, predominantly external-carotid CCF with V2/V3 pain plus hypoesthesia and vascular clues (pulsatile tinnitus/cranial bruit)—features that already pointed to a secondary vascular cause. By contrast, our patient initially had V2/V3-only pain without ocular congestion, bruit, or other cranial neuropathies, which led to initial misattribution to dental disease/trigeminal neuropathy. In Rizzo’s era, diagnosis relied on selective angiography (no MRI and no standardized follow-up imaging) and treatment was surgical ligation; in our case, TOF-MRA demonstrated characteristic findings; DSA confirmed an indirect CCF. Transvenous Onyx embolization yielded temporally concordant imaging and clinical improvement. In Jensen et al.5’s Case 1, the patient likewise reported V2/V3-territory symptoms, but—unlike our case—there were early ocular congestive signs (lid swelling, conjunctival chemosis) and abnormal ocular ductions of the left eye documented at presentation. These accompanying neuro-ophthalmic findings would more readily cue clinicians to a cavernous-sinus process, whereas our patient’s initial V2/V3-only pain without ocular signs contributed to early misattribution to dental disease/trigeminal neuropathy.
According to prior literature, posteriorly directed, high-pressure venous drainage in indirect CCFs can precipitate venous congestion around Meckel’s cave, providing a substrate for V2/V3 territory pain; this builds on earlier evidence implicating vascular compromise at the trigeminal (Gasserian) ganglion level.4,5 In our case, the post-procedure reduction in TOF-MRA flow related signal, along with decreased superior ophthalmic vein engorgement, indicates reduced cavernous venous pressure, plausibly relieving congestion around Meckel’s cave and thereby improving V2/V3 pain. The bifrontal, pressure-like headache with nausea/vomiting can be explained by posteriorly directed venous outflow from the fistula, which produces venous hypertension in the cavernous sinus and posterior dural venous pathways.1,3,7 Resultant venous engorgement distends pain-sensitive dura and activates trigeminal meningeal afferents, yielding a secondary dural headache rather than a primary migraine phenotype; the bifrontal topography is compatible with referral from the anterior cranial fossa/cavernous region dura via the ophthalmic and maxillary divisions.1,7 In line with this mechanism, headache occurs more often in indirect CCF than in direct CCF, reflecting posterior venous drainage and dural venous hypertension. Correspondingly, headache improvement tracked with the post-embolization decrease in shunt on TOF-MRA, supporting a venous-driven mechanism linked to posterior drainage. Likewise, abducens palsy—given the nerve’s central course through the cavernous sinus and vulnerability near Dorello’s canal—would be expected to improve as cavernous venous hypertension resolves, consistent with the observed normalization of right abduction on bedside duction grading.
In indirect CCFs as in our patient, endovascular therapy was selected as first-line; if endovascular access is not achievable or durable occlusion cannot be obtained, surgical management may be required.2,3 Given the indirect (Barrow D) angio-architecture, a transvenous approach—typically via the inferior petrosal sinus or, if inaccessible, the superior ophthalmic vein—was preferred, as transarterial embolization of dural feeders in indirect CCFs is associated with a higher embolic stroke risk.6,7 Transvenous embolization is commonly favored for indirect CCFs given the relatively straightforward venous anatomy, and high angiographic occlusion rates have been reported. Overall, endovascular treatment across techniques and access routes yields clinical improvement in approximately 60%–95% of cases.10 Post-embolization TOF-MRA demonstrated a marked reduction of flow related signal in the right cavernous sinus with decreased superior ophthalmic vein engorgement, consistent with interval shunt reduction and accompanied by ~80%–90% relief of dental/facial pain and improvement in diplopia. As shunt flow decreased, the V2/V3 territory pain improved in parallel, supporting the fistula as the proximate source of the pain.
In patients who present with severe pain localized to a molar and the adjacent gingiva, initial evaluation should prioritize exclusion of dental pathology and primary trigeminal neuralgia. However, when dental assessment is unrevealing and the pain exhibits atypical features—poor localization within the V2/V3 territory, non-paroxysmal quality, improvement only with short-acting analgesics, and a relapsing course—clinicians should maintain vigilance for evolving neuro-ophthalmic signs (e.g., new horizontal diplopia suggestive of abducens nerve palsy). Our case underscores that, under these circumstances, an atypical CCF presentation should be considered in the differential, and early neurovascular imaging (MRA/computed tomography angiography with confirmatory DSA when indicated) may prevent delayed diagnosis and treatment.
Notes
AVAILABILITY OF DATA AND MATERIAL
The data presented in this study are available upon reasonable request from the corresponding author.
AUTHOR CONTRIBUTIONS
Conceptualization: BC, SHK; Data curation: BC; Investigation: BC, CK, SHK; Methodology: BC, CK, SHK, JHS; Supervision: JHS; Validation: BC; Visualization: BC; Writing–original draft: BC; Writing–review & editing: CK, SHK, JHS.
CONFLICT OF INTEREST
No potential conflict of interest relevant to this article was reported.
FUNDING STATEMENT
Not applicable.
ACKNOWLEDGMENTS
Not applicable.
